TOYSUB!申し込みました~おもちゃのサブスク~

月齢が7ヶ月をすぎ、ずり這いやお座りをマスターすると、色々なものに興味を持ち始めます。
出産祝いなどで「おもちゃ」はある程度ありましたが、おもちゃの対象月齢が3~6ヶ月のものが多かったので、いよいよ「TOYSUB!」に申し込みました。
このまま色々なおもちゃを購入し続けることも考えましたが、散らかり放題になってしまうことや、買い物に行ける時間が多いという大人の事情も含めておもちゃのサブスク「TOYSUB!」を利用しようとおもいました。
続きは下記URLから!!
妊娠27週目突入~オススメマンガ”朝起きたら妻になって妊娠していた俺のレポート”~

妊娠27週目突入しました。
妊娠中期も最終週になったのでいよいよ出産が近づいてきた感覚がありました。
中期はつわりもなく安定していて仕事もできる状態でした。
身体の変化大きく驚いてばかりでした。
前回の定期検診までは4週に1回でしたが、これからは2週に1回と頻度が増えるのでエコーでチビきっきんを見られるので嬉しかったです。
4Dエコーを行っていな病院と聞いていたので、他で受けたかったのですが現在コロナの影響で他院からの受付はできないとのことだったので諦めました。
嫁きっきんの様子は?
妊娠27週目になると子宮が大きくなることで、またつわりのような症状がでることがあります。
さらに、赤ちゃんのため血液をたくさんつくるので血液が薄くっており動悸、息切、過呼吸がおきやすくなります。
むくみの症状もでてきます。
これも血液が増えていること、ホルモンの働きのためなので、通常のむくみ対策は効果が出にくいようです。
むくみはあかちゃんが成長している証拠ですので、むくみの対策で糖分や塩分のとりすぎなど食べるものには注意が必要です。
妊娠線に注意が必要
妊娠線に注意をする時期が始まりました。
妊娠初期から妊娠線の予防はしていくのがいいですが、妊娠中期は最も妊娠線ができやすい時期です。
お腹が急速に大きくなるため皮膚が引っ張られて肉割れがおきます。
お腹だけでなく下腹部、おしり、ふとももにも脂肪がつきやすくなっているのでケアが必須です。
|
|
チビきっきんの様子は?
最近は1日に数度しゃっくりをしていました。
毎日お腹の中で頑張って成長してくれているのが分かり、生まれてくるのがどんどん楽しみになってきていました。
一般的に、個人差はありますが体長は平均38cm〜40cm、体重は800〜1,250g程度まで増加します。
だんだんとカラダに脂肪がついてきて、ふっくらとしてきますのでカラダ全体が丸みを帯びてきます。
さらに、目のまわりや機能が発達し、まつ毛が生え網膜もでき光を感じられるようになっています。
お腹の中で、昼と夜の区別がつくようになる時期でもあるようです。
五感の発達もしてきているのでママがストレスを感じると赤ちゃんにも伝わってしまいます。
オススメマンガ”朝起きたら妻になって妊娠していた俺のレポート”
妊娠中の奥さんがいる旦那さんにオススメのマンガです。
奥さんの出産した瞬間に離婚を切り出されるところからスタートし、目覚めると妊娠したばかりの奥さんになっているお話です。
「気がつく優しい男」だと思い込んでいる旦那が、妊婦の奥さんになって自分のとんでもない勘違いを知っていく話で、世の奥さんからとても共感されるマンガです。
勘違いしてしまっている旦那さんいるかもしれないので、マンガであれば読みやすいと思いのオススメします。
|
|
どんな育児をしたらいいのだろうか〜流行りのモンテッソーリ教育〜

どのように子育てをしていくのがいいのかと考え、流行りのモンテッソーリ教育についての本を読みました。
“マンガでよくわかる モンテッソーリ教育×ハーバード式 子どもの才能の伸ばし方”を読んだのですが、1日あれば読み終わるので、妊娠中の方でも、子育てで忙しい方でもスッと読めると思います。
|
|
モンテッソーリ教育とは?
モンテッソーリ教育とは、イタリア初の女性医師として知られるマリア・モンテッソーリ(1870~1952)によって考案された教育法です。
イタリアのローマで医師として精神病院で働いていたモンテッソーリは、知的障害児へ感覚教育法を施し知的水準を上げるという効果を確認した後、1907年に設立した貧困層の健常児を対象とした保育施設「子どもの家」において、その教育法を完成させました。
以後、モンテッソーリ教育を実施する施設は「子どもの家」と呼ばれるようになりました。
既に90年以上の歴史をもち、世界各地で盛んに実践され、その効果が実証されています。
モンテッソーリ教育は、日本では「幼児教育」として有名ですが、決して「幼児教育」だけではありません。
モンテッソーリ教育では、人間として完成するのは24歳頃とされ、それまでの発達段階を4段階に区切っています。
モンテッソーリ教育の目的は、それぞれ発達段階にある子供を援助し、「自立していて、有能で、責任感と他人への思いやりがあり、生涯学び続ける姿勢を持った人間に育てる」ことです。
この目的を達成するため、マリア・モンテッソーリ女史は、子供を観察し、そこから得た事実に基づいて教育法を構成し、独特の体系を持つ教具を開発しました。
その教育法の正しさは、現代の大脳生理学、心理学、教育学などの成果によって証明されています。
育児をする上でのモンテッソーリ教育とは?
自由に子どものやりたいことを止めずに見守っててあげるのが大まかにいうとモンテッソーリ教育です。
子どものやること一つ一つに意味があり、それは「自分の能力を伸ばしたい」「才能を成長させたい」というモノです。
子どもが、フシギな行動や親を困らせる行動をしていてもその行動は、何らかの意味のある行動です。
家事や仕事、時間的・精神的余裕のなさで親都合により、子どもの行動を妨げてしまうと能力・才能が伸ばし切れてあげられなくなってしまいます。
だからと言って、時間が無制限にあるわけではないと思うので、事前に決まり事をある程度決めてその中で自由にさせてあげることで、自立した自分で考えられる人としての成長が可能になるようです。
具体的な方法に関しては、“マンガでよくわかる モンテッソーリ教育×ハーバード式 子どもの才能の伸ばし方”を読むとわかります。
|
|
“マンガでよくわかる モンテッソーリ教育×ハーバード式 子どもの才能の伸ばし方”
“マンガでよくわかる モンテッソーリ教育×ハーバード式 子どもの才能の伸ばし方”を読んで、まず子育てをしていくことへのハードルがいい意味で下がりました。「こうしなきゃ」や、「何で言うことを聞いてくれないんだ」といったような、子育てをしていく親であればぶつかる壁を取り払ってくれて、さらには子どもの才能・能力が伸ばせる方法があることを知ることができました。
著者 伊藤 美佳さん
幼稚園教諭1級免許。日本モンテッソーリ協会教員免許。保育士国家資格。小学校英語教員免許。NPO法人ハートフルコミュニケーションハートフル認定コーチ。
サンタフェNLP/発達心理学協会・ICNLPプラクティショナー。
日本メンタルヘルス協会認定基礎心理カウンセラー。
自身の子どもがモンテッソーリ教育の幼稚園で素晴らしい成長を遂げたことに感銘を受け、モンテッソーリ教師の資格を取得。
2015年に代表職だった幼稚園を退職し、子供の育ちに良い教育を研究し続け30年以上 50,000人の親子に試した結果これからの時代に必要な教育法を確立。
著書の内容
モンテッソーリ教育の基本を、子育ての中の「あるある」場面をマンガにし「親の視点」「子どもの心の中」と比較したひと目でわかる紹介をしてくれています。
これまで接してきた子どもたちの様子をもとに能力の引き出し方や、親の対応の仕方も詳しく教えてくれています。
また、ハーバード大学の教授が提唱している「多重知能理論」を、経験を踏まえて日本人向けにアレンジした「9つの知能」の紹介もあります。
この「9つの知能」と「モンテッソーリ教育」を掛け合わせて、0〜6歳までの接し方や育て方を歳ごとに出てくる悩みに対しどの知能を伸ばしてあげられる時期なのかを教えてくれています。
さらに、その時期の親の行動のアドバイスも教えてくれているので、こんなちょっとしたことをするだけでいいのかと、子育てをまだしていない人も今悩まれている方も安心させてくれる内容になっています。
自分の育てられ方を振り返ってみて
子どもができたと分かったあと、親に頼んで自分の子どもの時のビデオを見ました。
生まれたばかりの時や1歳、2歳と成長したとき子どもはどんな様子なのか知識を得ておくためにもと思い見返してみました。
見返しての感想は、ほぼモンテッソーリ教育に沿った育児をされていました。
親が30年も前にモンテッソーリ教育を知ってたは思えないので、のびのび育てたいと言う気持ちくらいだとは思うのですが、子どもを自由にさせてくれていました。
ビデオに残っている映像の多くの時間が1人でおもちゃで遊んでいたり、謎の行動をしているのですが本当に危ないことでなければ見守るスタイルでした。
映像の中に親がうつる回数が極端に少なく、「ダメだよ」という言葉に関しては一度も入っていませんでした。
やりたいことをやりたいだけやらしてもらっている様子が見ることができました。
そのおかげか、今まで勉強面でも運動面でも苦労することなく生活もでき、ブログもそうですが自分から何かやっていこうと思える主体性も知らぬ間に身についていました。
一見放置されていたような映像ではあったのですが、有能かはさておき「自立していて、有能で、責任感と他人への思いやりがあり、生涯学び続ける姿勢を持った人間に育てる」という教育に近い子育てをしてくれたことには感謝ですし、自分の子どもにも実践してあげたいとも本だけではなく、実体験としても思えました。
|
|
妊娠26週目突入 〜エコー写真公開します〜

妊娠26週目突入しました。
定期検診があったためエコーで元気な様子も見ることができましたが、未だ逆子のままでした。
妊娠34週目までに戻っていれば問題はないので、心配はしていないですが逆子体操などは少し考えた方がいいのかもしれない状況でした。
嫁きっきんの様子は?
妊娠26週目になると、細身のママでも下腹部やウエストの膨らみが目立つようになり妊娠がわかるようになります。
この時期は特に腰痛が出やすい時期になります。
子宮を守るために骨盤が大きく、緩くなりひろがってきます。
そこにお腹の重みが重なり、腰痛を悪化させます。
痛みがひどく生活に支障が出る場合もあるので、医師への相談も考えた方がいいです。
心臓への負担も大きくなってきます。
子宮がふくらむことで心臓を圧迫したり、成長にともなって血液量が増えるため負担が大きくなります。
そのため、動悸・息切れを感じたり仰向けで寝ると苦しくて眠れなくなることもあります。
この息苦しさなどは26週目以降もしばらく続くため無理をせず、寝るときの体勢も負担を軽減できる寝方を考えたほうがいいです。
嫁きっきんとは仕事が休みの週末にしか会えなかったので身体の変化がとてもわかりやすかったです。
腰痛がかなり悪化していたため、「マタニティベルト」と「抱き枕(授乳まくら)」で予防をしていました。
|
|
|
|
チビきっきんの様子は?
チビきっきんは相変わらずの逆子状態で、元気に動いてました。
元気に動いてくれてるときはお腹を触っていなくてもわかるほどでした。
一般的に、この時期になると個人差はありますが体長は35cm〜38cm、体重は750〜1100g程度になります。
カラダの器官もほぼ完成され、視覚・聴覚・味覚も発達し、情報を脳に伝達する機能も完成してきます。
この時期から、「肺呼吸」が始まり羊水を吸い込んだり、吐いたりと呼吸の練習を始めます。
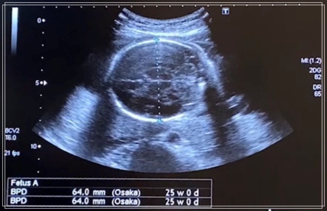
チビきっきんは、頭のサイズが64mmで体重が891gで順調に育ってました。
今回はエコーの様子もご紹介します。


頭の大きさ、体重もわかるのがすごいなと思いました。
順調に育っているとも検診の結果言われましたので安心できました。


エコーの段階で鼻と唇がしっかりしてていいねと言われました。
唇も割れていないとも言われたので安心できました。
自分の子どもだとエコーの段階でも可愛いと思えました。
先輩パパの耳寄り情報
コロナ禍ではありますが、もうすぐ2歳になる子がいる友人とこの週末たまたま二家族と話をしました。
どちらの家族も男の子を育てているので先輩パパです。
どちらの子も夜泣きは少なかったと言ってはいましたが、自分の時間が極端に減って1日、1年があっという間だと話してました。
しかし、自分の子どもの可愛さは半端じゃないのは間違いないようです。
日々、可愛さのハードルをいとも簡単に飛び越えていくみたいです。
友人にオススメしてもらったものもあったので紹介します。
紹介したいベビー用品は、鼻水吸引器「メルシーポット」です。
使い勝手も洗浄もしやすくていいと言ってました。
こんなに吸引できるのって程の吸引力で大人でも使えるとのことでした。
イクメンきっきんがアレルギー性鼻炎をもっているので鼻炎に悩まされる可能性は高めなので鼻水吸引機は必須になる予定です。
|
|
妊娠25週目突入 〜気になるベビーグッズも楽天ROOMで紹介〜

妊娠25週目を無事突入いたしました。
友人の子どもが生まれお腹の中であんなに育って出てきてくれるんだねと話をし、自分たちの近い将来を想像していました。
妊娠中期もかなり終盤になってきて胎動が力強くなっていました。
この1週間はお腹の張りは続いていましたが順調な1週間でした。
嫁きっきんの様子は?
お腹もどんどん大きくなってきて、便秘や痔などの悩みが出てくる時期です。
子宮底長(恥骨の中央から子宮の上の端までの直線距離を計測した数値)は23〜29cmほどになります。
子宮自体の大きさはサッカーボールほどの大きさになっているようです。
体重増加に注意の時期になります。
嫁きっきんを見ていても、つわりの影響が消え美味しく食べられるので妊娠以前より量が増えていました。
お腹が空くだけではなく、妊娠中は子どもの栄養補給のためや出産に備えてエネルギーを蓄えやすくなっているため体脂肪がつきやすくなります。
ただし、増えすぎたからといって無理なダイエットはせず今食べているカロリーを計算しバランスの取れた食事に見直しをした方がいいようです。
お腹の張りは薬を飲みながら調整してはいますが、それ以外は順調にいってます。
仕事で動いていたため、つわりで動けなかった時よりも足に筋肉が戻ってきて少し細くなっていました。
北海道は冬に外での運動が妊婦には危険が多すぎるので、仕事で運動不足の解消になっていたのは良い傾向でした。
平日動く分、週末は2人でのんびりとスプラトゥーンをやっていました。
妊娠初期はつわりなどの動きが色々あったのですが、中期は落ち着いておりました。
|
|
|
|
チビきっきんの様子は?
チビきっきん変わらず元気に動いていました。
お腹をポンポンと叩くと反応してくれるのを感じて楽しんでいました。
一般的に、この時期になると体長は31cm〜36cm、体重は600〜940g程度になります。
皮下脂肪もさらにつき、髪の毛も増えてきます。
この時期にエコーをとると顔をアップで見れる可能性もあります。
目を開いて瞬きを始めたり、肺の発達も続いており鼻の穴が開き呼吸の練習も始めます。
探せば探すほどでてくるベビーグッズ
この時期、嫁きっきんが仕事のため1人でいる時間が長くなっていました。
そのため気がつくと楽天でベビーグッズ見ていました。
ベビーベッド・チャイルドシート・ロンパース・抱っこ紐など見ていたら、楽天ROOMのコレクションが100品を超えていました。
是非参考に見に来てください。
出産後にあって良かったものなども含めて紹介しています。
楽天コレクション
生まれる前から考えよう~保活はじめていますか?~

子どもが生まれたら必要になってくる子どもの預け先ですが、0歳から預かってもらうとなると幼稚園ではなく保育園を探す必要があります。
私は保育園に行った記憶がなかったため、保育園の知識が全くなかったので、色々調べてみました。
すると、色々な種類の保育園があり、かつ認可・認証・認可外と見分けづらい名前が出てきて混乱しました。
今回はこの投稿にできるだけわかりやすくまとめて行きます。
誕生月によっては生まれてからでは遅いという可能性もあるので、備えあれば憂いなしです。
共働きを考えている夫婦は、2人で知識を身につけおいて損はなしです。
|
|
保育園の種類は?
導入部分にもあった様に、保育園には複数の種類があります。
保育園の種類を挙げていくと、認可保育園・認証保育園・認可外保育園・認定こども園・事業所保育所・院内保育所があります。
下記に1つ1つについて紹介していきます。
認可保育園
認可保育園とは、児童福祉法に基づき国の定めた基準(保育士の数、施設の広さ、設備など)を満たした市区町村の自治体から認可を受けて運営されています。
認可保育園は、国からの補助金があるので安定した運営がされており、基準を満たしているので保育士の数や設備が充実していることが多いです。
また、補助金が出ていることもあり保育料も他と比較すると安く済みます。
ただし、保育時間は8〜11時間と定められており、それ以上になると延長保育料金がかかってしまいます。
認可保育園には、さらに4種類に分けられます。
| 入所対象 | 0歳から小学校入学までの児童 |
| 定員 | 60名以上 |
| 職員 | ・0歳児3人につき1人以上 ・1歳児及び2歳児6人につき1人以上 ・3歳児20人につき1人以上 ・4歳児30人につき1人以上 |
| 資格 | 保育士 |
| 保育室等の設備 | ・乳児室またはほふく室:0歳児及び1歳児1人につき3.3平方メートル ・保育室など:2歳児以上1人につき1.98平方メートル ・屋外遊技場:2歳児以上1人につき3.3平方メートル |
| 給食 | 自園での調理・委託 |
(公立)認可保育園
市町村が運営している保育園で、働いている保育士さんは公務員なので長く勤務されている方が多くおます。
ただし、市の中で異動があるため保育士の方が年に一回変わることがあります。
(公設民営)認可保育園
公設民営の認可保育園というのは、設置自体は市区町村などの公共団体が行い、運営だけは民間の企業や団体が行う保育園のことをいいます。
増加傾向にある形態で、理由は保育の需要が増加したが市区町村の公共団体での運営が厳しい状況で、保育時間に対する需要の多様化が考えられます。
市区町村などの公共団体から業務の委託を受け、保育方針や行事など大きな差はないと言われます。
しかし、運営する民間の企業や団体の委託期間が終わり委託が継続されなかった場合には保育士の方も変わってしまいます。
当然ですが人が変われば方針があっても内容が変わってしまったり、お子さんも不安を感じることもあります。
色々な変化への適応力がつくとも考えられますが、どのように捉えるかは人それぞれかと思います。
(私立)認可保育園
民間企業や社会福祉団体などの団体が運営を行っており、経営状況、教育方針や経営方針、宗教観などが公立保育園よりも特徴として色濃く出る傾向があります。
気にしない方は気にしないですが、宗教観は気にする方が多いのでどのような運営している会社・団体を見極める必要があります。
さらに、私立認可保育園にはどうしてもアタリ、ハズレが出てしまいます。
理由としては、保育士の方が園長(運営者)となるため、特別運営に関する知識や会計に関する知識を持っていないことが多いためです。
保育士としては優秀であっても、保育園全体がよくなるとは限らないため園によって差が出てしまうようです。
小規模認可保育園
2015年施行の「子ども・子育て支援新制度」で、新たに認可事業になった少人数の保育施設です。
この形態もまた3つのタイプに分類にされます。
A型・B型・C型に分けられます。
| A型 | B型 | C型 | |
| 年齢 | 0〜2歳 | Aと同じ | Aと同じ |
| 定員 | 6〜19名 | Aと同じ | 6〜10名 |
| 職員 | 認可保育配置基準プラス1名 | Aと同じ | 0〜2歳児3人につき1人 |
| 資格 | 保育士 | 職員の半分以上が保育士 | 家庭的保育者 |
| 保育室等の設備 | ①乳児室またはほふく室:0歳児及び1歳児1人につき3.3平方メートル ②保育室など:2歳児以上1人につき1.98平方メートル ③屋外遊技場:2歳児以上1人につき3.3平方メートル |
Aと同じ | ②以外Aと同じ |
| 給食 | 自園での調理(連携施設からの搬入可能) | Aと同じ | Aと同じ |
※『家庭的保育事業等の設備及び運営に関する基準』
上記の表のようにタイプによって違いがあります。
どのタイプであれ少人数での預かりになるため、丁寧な保育をしてくれるとい感想が多いようです。
また、0〜2歳の子たちが同じ部屋で過ごすので年齢を超えた関わりができることもメリットに感じる方がいました。
ただし、小規模なので園庭がなかったりもするので運動が十分にできるのか心配という声もありました。
|
|
認証保育園
ここはイクメンきっきんが、道民なのでさらっと終わらせてしまいます。
認証保育園に関しては、東京都独自の制度です。
認可保育園よりも規模は小さく、設置基準が厳しくないため、様々な需要に対応した保育園があります。
0歳児の受け入れを積極的にしているところが多く、利用料は認可保育園よりも高めになることが多いです。
認可外保育園
認可レベルの基準は満たしてはいないものの、一定の基準をクリアしての設置されています。
保育園の質については、認可を受けていないからといって、認可外保育園の質が低いというわけではないです。
認可の基準が非常に厳しく、仮に施設の広さが少し足りないだけでも認可外の扱いになってしまいます。
なので、認可外で何が基準から外れているかを見定めて選ぶ必要があります。
広い空間でのびのびさせたいなら広さの基準を満たしているところを選ぶべきです。
認可外で、選ぶ場合はどこに重きをおくかを考える必要があります。
認定こども園
認定こども園は、保育園の要素と幼稚園の要素を合わせ持った形態です。
認定こども園にも家庭・地域の状況に応じて4つのタイプがあります。
幼保連携型
幼稚園的機能と保育所的機能の両方を合わせて持っており、小学校との交流の機会や連携などを図り、スムーズに小学校へ進み教育が受けられるようにと考えられたタイプです。
幼稚園型
公立や私立の認可幼稚園が基盤となっています。
幼稚園の時間だけだと預かる時間が足りず、保育が必要なお子さまのための保育時間を確保して長時間預かりを実施したり、0歳からのお子さまを預かったりするなど、保育所的な役割を備えたタイプです。
保育所型
公立や私立の認可保育所が基盤となっています。
保育が必要な子ども以外も受け入れるなど、就労していない保護者の方でも利用できる幼稚園的な役割を備えたタイプです。
地方裁量型
幼稚園および保育所のいずれも認可のない地域の教育・保育施設がもととなってて、待機児童解消のため、認定こども園の機能を果たすタイプです。
|
|
